Il dolore mestruale: non sottovalutiamolo

Il dolore mestruale, definito come “dismenorrea”, è un sintomo molto comune. Si può descrivere come la presenza di crampi dolorosi di origine uterina che si verificano durante le mestruazioni. La prevalenza stimata della dismenorrea è elevata, anche fino al 90% delle donne in età riproduttiva, con tassi più elevati tra gli adolescenti.
Per fatti culturali viene accettato come un normale aspetto del ciclo mestruale, quindi le donne non la segnalano e non cercano assistenza medica. Alcune donne (si stima circa il 30%) hanno un dolore molto grave, tale da renderle incapaci a svolgere la propria vita come la reiterata assenza da scuola o dal lavoro. La dismenorrea ha un forte impatto sulla vita delle donne, determinando una limitazione delle attività quotidiane, un rendimento scolastico inferiore negli adolescenti e ha effetti negativi sull'umore, causando ansia e depressione.
Il dolore associato alla dismenorrea è causato dall'ipersecrezione di prostaglandine e da un aumento della contrattilità uterina. La dismenorrea che non riconosce alcuna causa è abbastanza frequente nelle giovani donne presentando una buona prognosi, anche se associata a scarsa qualità di vita. Le forme secondarie di dismenorrea si associano a endometriosi e adenomiosi e possono rappresentare il sintomo chiave. La diagnosi è sospettata sulla base della storia clinica e dell'esame obiettivo e può essere confermata con l'ecografia, che è molto utile per escludere alcune cause secondarie di dismenorrea, come l'endometriosi e l'adenomiosi.
L'endometriosi è una condizione in cui le cellule endometriali sono localizzate al di fuori dell'utero e colpisce fino al 10% di donne in età fertile. Questa condizione, in particolare la cosiddetta endometriosi infiltrante profonda, rappresenta un problema sostanziale a causa del dolore associato e della riduzione della fertilità; pertanto la diagnosi precoce è considerata un passaggio fondamentale per la scelta del corretto approccio terapeutico.

Da un recente consenso internazionale l’ecografia transvaginale emerge come la tecnica di imaging di prima linea grazie alla sua disponibilità e al costo relativamente basso pur presentando solo nelle mani di operatori dedicati un'alta affidabilità diagnostica che tuttavia varia a seconda delle sedi studiate. A differenza di altre tecniche di imaging sfrutta lo studio della dinamicità degli organi che aiuta ad approfondire nello specifico proprio le sedi di maggiore dolorabilità. Tuttavia, soprattutto nello studio dell'endometriosi, la metodica è fortemente operatore-dipendente, la cosiddetta Ecografia Pelvica di II livello.
L'aggiunta della tecnologia tridimensionale (3D) è relativamente nuova ed alcuni studi hanno dimostrato che questo approccio potrebbe garantire prestazioni migliori rispetto alle immagini bidimensionali classiche, con il vantaggio inoltre di esplorare ed elaborare le immagini non in presenza della paziente, consentendo a più lettori di studiare i dati ecografici. Un ulteriore step aggiuntivo è rappresentato dall’ecografia modificata”. Si effettua a discrezione dell’ecografista per migliorare la definizione diagnostica su indicazione delle localizzazioni di patologia: esame ecografico guidato dal dolore; esame ecografico eseguito con rettosonografia o con la sonovaginografia e l’ecografia tridimensionale. L’ecografia modificata ha dimostrato una migliore definizione diagnostica rispetto alla metodica tradizionale nonostante la scarsità degli studi precluda una valutazione di tipo statistico.
Un accurato studio delle localizzazioni endometriosiche è di importanza fondamentale per una corretta pianificazione terapeutica che sia medica e/o chirurgica al fine di evitare la progressione di malattia che in stadi avanzati può danneggiare in maniera irreversibile non solo gli organi dell’apparato riproduttivo femminile ma anche organi limitrofi ad esso (vescica ed ureteri, intestino, strutture muscolari e fasciali).

 

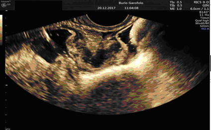
Fig.n.1 Immagine di nodulo vescicale endometriosico in ecografia 3D

 

Fig. n. 2 Immagine di nodulo endometriosico intestinale in ecografia 3D

 

Fig.n.3  Immagine di nodulo endometriosico intestinale nella rettosonografia

 

Dott.ssa Francesca Buonomo

Amministrazione Trasparente