Tumore uterino endometriale: ruolo dell’imaging ecografico in comparazione con la risonanza magnetica nello studio preoperatorio

Il carcinoma endometriale uterino è il più comune tumore maligno femminile nei paesi sviluppati con un rischio cumulativo dell'1,8%. Lo stile di vita ne influenza l’incidenza: il solo eccesso di peso corporeo pare dare un contributo per il 50% rispetto a tutti gli altri fattori di rischio che sono ipertensione, diabete e nulliparità.

L'incidenza di picco è intorno ai 65 anni. Può essere suddiviso in due tipi istologici: il tipo 1 che è il più frequente ed è associato all’obesità, agli estrogeni alti, al periodo di vita a cavallo della menopausa e che fornisce precocemente segno di sé con perdite ematiche vaginali anomali.

Rappresenta circa il 90% dei tumori dell’endometrio e ha una buona prognosi soprattutto se la paziente non sottovaluta il sintomo del sanguinamento uterino precoce; infatti la progressione è lenta.

Vi è il tipo 2 che non è associato ai fattori di rischio succitati e ha una progressione più rapida. La sua prognosi è meno favorevole.

I fattori prognostici più importanti sono rappresentati dalla stadiazione del tumore (valutazione dell’estensione della neoplasia all’interno dell’utero ed alle strutture circostanti) e dalla tipologia del tumore. La selezione preoperatoria dei casi risulta pertanto fondamentale evitando così il sovra-trattamento nelle pazienti a basso rischio e consentendo a quelle ad alto rischio di programmare una chirurgia più radicale.

 Oltre alla stadiazione del tumore e alla pianificazione del trattamento, l’imaging ha inoltre ulteriori ruoli potenziali come la definizione della risposta al trattamento e le eventuali complicanze e nel tempo le eventuali recidive di malattia. 

Sia l'ecografia transvaginale che la risonanza magnetica sono modalità di imaging che possono essere utilizzate per lo studio di queste pazienti.

Secondo le linee guida della National Cancer Network per le neoplasie uterine, l'ecografia transvaginale e/o transaddominale non è riconosciuta come tecnica mandatoria nello studio preoperatorio della lesione, nonostante la letteratura riporti ampiamente lavori che ne evidenziano una sensibilità e specificità paragonabili a quelle della risonanza magnetica se eseguita da operatori dedicati, ma con costi inferiori e disponibilità della metodica maggiori.

Secondo invece le Società Europee di Oncologia Ginecologica, Oncologia Medica, Radioterapia ed Oncologia (ESGO / ESMO / ESTRO) il work-up preoperatorio dovrebbe includere sempre l'ecografia transvaginale o transrettale.

L’ecografia di II livello riveste un ruolo primario e rappresenta il primo step nello studio di queste pazienti, sia per i costi ridotti e la maggiore disponibilità rispetto ad altre metodiche che per l’alta affidabilità ormai ampiamente dimostrata in letteratura nel definire l’estensione di patologia.

Alcuni studi hanno comparato le performance dell’ecografia con la risonanza magnetica: tendenzialmente entrambe le metodiche hanno dimostrato buone performance con risultati diversi, talora contrastanti, a seconda dei diversi centri, delle apparecchiature utilizzate e delle diverse expertise degli operatori. Tuttavia in considerazione dei più bassi costi e della maggiore disponibilità dell’ecografia, secondo molti è da preferire come prima indagine, riservando la risonanza a casi selezionati.

L’ecografia può inoltre fornire informazioni riguardo la vascolarizzazione e l’apporto e distribuzione vascolare della lesione in esame. Con il rapido sviluppo dell’imaging ultrasonografico contrast-enhanced e delle tecnologie correlate, è ora infatti possibile individuare meglio il flusso sanguigno anche nei vasi piccoli e profondi e questo a sua volta migliora l’abilità di differenziare tra aree di perfusione normale e anormale.

Presso il nostro Dipartimento è stato condotto uno studio retrospettivo osservazionale per inquadrare il ruolo dell’ecografia in comparazione con la RM sulle stesse pazienti per valutare l'estensione del tumore locale nelle donne sintomatiche per sanguinamenti uterini anomali con carcinoma dell'endometrio.

La casistica si è avvalsa di 73 pazienti sintomatiche o con riscontro accidentale di lesione sospetta diagnosticate con isteroscopia ed esame istologico e operate per tumore endometriale che si sono sottoposte a ecografia transvaginale II livello e/o transaddominale e a RM per valutare preoperatoriamente il grado di infiltrazione in comparazione con l’esame istologico.

Facendo un confronto tra la sensibilità e la specificità della tecnica ecografica e della risonanza magnetica risulta che la tecnica ecografica raggiunga migliori risultati sia termini di sensibilità che di specificità rispetto alla risonanza magnetica nella valutazione del parametro “coinvolgimento dello stroma del canale cervicale da parte della neoplasia endometriale” (SE: 80% vs 66.70%; SP: 94.80% vs 93.10%).

Per quanto riguarda il parametro” infiltrazione miometriale neoplastica superiore o inferiore al 50%”, l’ecografia dimostra migliore sensibilità rispetto alla risonanza magnetica (SE: 86.80% vs 76.30%) e viceversa per la specificità (SP: 77.10% vs 80.00%).

In accordo con la letteratura, sulla base dei risultati ottenuti, viene confermata anche in questa nostra casistica la validità della tecnica ecografica nello studio preoperatorio delle neoplasie uterine.

In conclusione, per i riscontri relativi a questa nostra casistica, è evidente come le due tecniche di ecografia transvaginale in 2D-3D e risonanza magnetica in combinazione siano un’ottima strategia di studio pre operatorio delle lesioni endometriali.

Dott.ssa Francesca Buonomo
Clinica Ostetrico Ginecologica - Ecografia ginecologica avanzata
(articolo aggiornato al febbraio 2019)

 
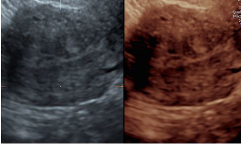
Immagini in 3d di adenocarcinoma endometriale in cui si denota un’infiltrazione del miometrio superiore al 50% dello spessore miometriale e assenza di coinvolgimento dello stroma del canale cervicale.  
 
Immagini in 3d di adenocarcinoma endometriale in cui si denota un’infiltrazione del miometrio inferiore al 50% dello spessore miometriale e assenza di coinvolgimento dello stroma del canale cervicale.  

 

Amministrazione Trasparente